インプラント
インプラント治療について
人は永久歯を失うと残念ながら二度と元には戻りません。そのため従来は「入れ歯」などを用いるしか歯を補う方法はありませんでした。
しかし「入れ歯」だと固いものがうまく噛めない、発音がおかしい、また長く使っている間に合わなくなってガタついてきたりする場合があります。
このように歯を失ってお悩みの方に「インプラント治療」をご紹介いたします。 インプラントで輝く笑顔、咬める喜びを取り戻しませんか?
※インプラントは保険外診療です。
インプラントのメリット
従来の歯を補う方法と比べてどこが優れているのですか?
歯を1~2本失った場合
従来の方法(ブリッジ)

ブリッジで治療します。健康な歯を削る必要があり、また、支えとなる歯に加重負担がかかるため、将来的に健康な歯を失う可能性があります。
インプラント

歯を数本失った場合
従来の方法(部分入れ歯)

部分入れ歯で治療します。入れ歯を支えるためのバネが、見た目にも機能的にも不快です。また、バネを支える歯に加重負担がかかり、将来歯を失う原因になる場合があります。
インプラント

歯を多数本失った場合
従来の方法(入れ歯)

非常に大きな入れ歯、あるいは総入れ歯となります。支えがないため入れ歯が動きやすく、歯肉にあたって痛むことがあります。また、あごが痩せるため、はずれやすくなります。
インプラント

インプラント治療でできること
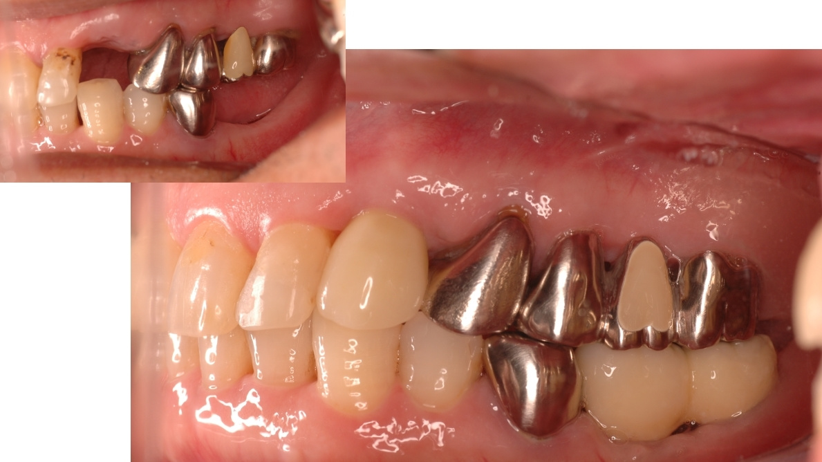
インプラント治療例①
前歯・奥歯のインプラント
上顎の犬歯(前から3番目の歯)、および下顎の大臼歯(前から6番目・7番目の歯)にインプラント治療を行いました。
見た目も自然で、しっかり噛めるようになり、患者さんも大変満足されております。

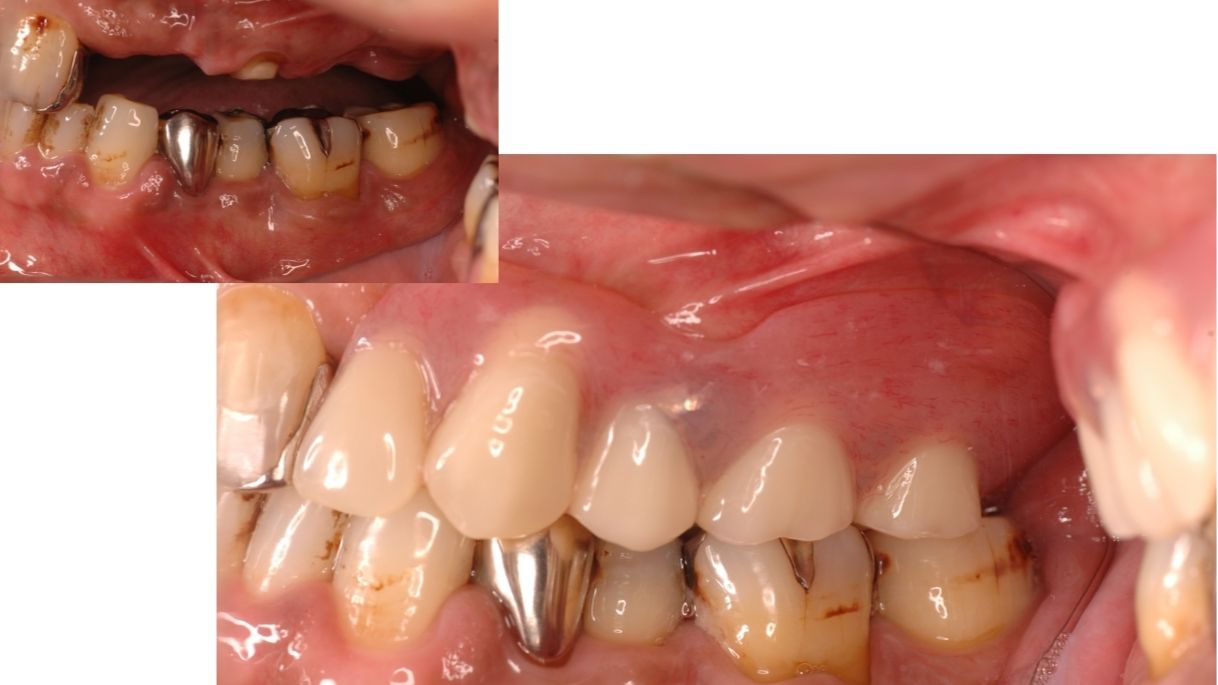
インプラント治療例②
インプラントオーバーデンチャー
上顎の5本欠損に対し、インプラントを2本埋入して義歯の支えとして使用した症例です。本来、インプラントは欠損した歯の本数分の手術が必要になりますが、インプラントと義歯を組み合わせることで、少ない本数での治療が可能になるため、手術侵襲が少なくかみ合わせを回復することが可能となりました。
通常の義歯と比較して、バネが見えにくく審美的で、かつ、インプラントよりもお手入れが簡単なため、患者さんも大変満足されております。

当院では、インプラント治療に際し、あごの骨が痩せており大きく骨を増やす手術必要がある症例、かみ合わせが複雑な症例、審美性が大きく要求される症例などの難症例には対応できない場合がございます。この場合は、大学病院などをご紹介させていただきますので、ご相談ください。