成人矯正治療(大人の歯並びの治療)
表側 クリアブラケット矯正
<特色>
T&T歯科・矯正歯科クリニックで最もスタンダードな矯正治療。前歯は白い装置で、歯磨きも比較的簡単にできます。また、他の方法に比べて費用が抑えられます。
欠点としては、表側のワイヤーが金属で少し目立つことがあげられます。
<治療費>
矯正相談 無料
精密検査 32,400円(税込)
表側クリアブラケット治療 703,080円(税込)*税抜き651,000円
※特殊なレントゲン撮影が必要な場合は、紹介により他病院で撮影していただきます。この際は別途費用がかかります。
舌側矯正

<特色>
矯正装置を裏側に付けることができる矯正治療。装置はSTbブラケット(現在、日本で発売されている装置の中で最も小型のもの)を使用します。誰にも気づかれずに歯並びをきれいにしたい方にお勧めの方法です。T&T歯科・矯正歯科クリニックで最も人気の矯正方法です。
欠点としては、装置が裏側に付くために歯磨きが難しい、舌に当たって食事がしにくいことがあるなどがあり、また他の方法と比較して治療期間が長くなることがある、細かい仕上がりは表側矯正に比べ若干劣る場合があることがあげられます。
<治療費>
矯正相談 無料
精密検査 32,400円(税込) *税抜き30,000円
上顎のみ舌側矯正
下顎表側クリアブラケット 963,900円(税込) *税抜き892,500円
下顎審美矯正 1,014,930円(税込) *税抜き939,750円
上下 舌側矯正 1,065,960円(税込) *税抜き987,000円
デーモンブラケット矯正 793,800円(税込) *税抜き735,000円
※特殊なレントゲン撮影が必要な場合は、紹介により他病院で撮影していただきます。この際は別途費用がかかります。
審美矯正
<特色>
装置は表側に付きますが、装置・ワイヤー共に白色・クリアを使用し、とても審美的に矯正治療を行うことが可能な方法。表側に装置が付くため歯磨きもしやすく、とても衛生的です。
<治療費>
矯正相談 無料
精密検査 32,400円(税込)
審美矯正 816,480円(税込)
※特殊なレントゲン撮影が必要な場合は、紹介により他病院で撮影していただきます。この際は別途費用がかかります。
デーモン矯正
<特色>
治療期間の短縮と、治療期間中の痛みを軽減することが可能なスピードブラケット(デーモンシステム)を使用する矯正治療。さらに、デーモンシステムでは、従来の方法では抜歯が必要な症例についても、歯を抜かずに治療が可能になる場合があります。
欠点としては、装置がほかの方法と比較して少し厚みがある為、違和感を少し強く感じる場合があります。
<治療費>
矯正相談 無料
精密検査 32,400円(税込)
デーモンブラケット 793,800円(税込)
デーモンクリアブラケット 831,600円(税込)
※特殊なレントゲン撮影が必要な場合は、紹介により他病院で撮影していただきます。この際は別途費用がかかります。
クリアライナー矯正
<特色>
透明な取り外し可能な装置(クリアライナー)による矯正治療。装置を取り外すことが可能なため、お食事や、記念写真など、必要に応じて装置を外すことができます。
欠点としては、症例が限定されどなたにでも適応できるわけではないこと、他の方法と比較して費用が高額になること、取り外しが可能なためご自身で長時間の継続使用(最低1日17時間以上)していただけないと治らないこと、などがあげられます。
<治療費>
矯正相談 無料
精密検査 32,400円(税込)
クリアライナー矯正治療 治療費は症例によって異なります。ご相談ください。
※特殊なレントゲン撮影が必要な場合は、紹介により他病院で撮影していただきます。この際は別途費用がかかります。
小児矯正治療(子供の歯並びの治療)
小児矯正のメリット
子どものうちに、矯正治療を行う最大のメリットとは、顎(骨格)の成長を利用して治療を効率的に出来ることです。
大人の矯正治療の場合、成長が終了し顎の大きさが決定しているため、歯をきれいに並べるのに必要なスペースを健康な歯を抜歯することにより確保せざるをえないケースが多いのです。これに対し、成長発育途上の小児期での矯正治療は、乳歯から永久歯への交換と、顎の成長のコントロールを利用して矯正治療を行うことで、健康な永久歯を抜歯せずに治療することができる可能性が大きくなります。
さらに、大人の矯正治療と比較して、子供は顎の骨が柔らかいため、治療中の痛みが比較的少ないこと、術後の歯肉退縮(歯ぐきがやせてしまうこと)などの副作用が起こる可能性がほとんどないこと、子供の頃から歯ブラシ指導やフッ素利用などの予防を徹底するため、将来の虫歯・歯周病のリスクが軽減できることなどがあげられます。
矯正治療の開始時期
どんな年齢のお子様でも矯正治療することは可能ですが、始めるのに一番良い時期というのがあります。
矯正治療の開始の時期が子どもの成長期にある場合には、成人から始めるのに比べて、良い結果が得られるのと同時に治療期間も最小限に抑えることが出来るのが大きなメリットと言えます。
歯並びが気になったらなるべく早くもしくは遅くても7歳までには、矯正専門医による検診をお勧めします。
検査をした結果、この時期に治療が必要でないお子様もおりますが、早い時期にしっかりとした検査を行うことで子どもにとって最も効果の高い矯正治療の開始時期を予測することが出来るのです。
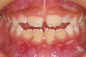
下の前歯が4本萌えた頃(7歳前後:写真くらいの時期)に一度矯正歯科の検診をお勧めします。 もし永久歯が萌えていなくても顎(骨格)に問題があるような場合は矯正治療を開始することもあります。
子供の矯正治療の進め方
子供の矯正治療は、Ⅰ期治療(乳歯と永久歯が混在する時期)とⅡ期治療(すべて永久歯に生え変わってからの時期)に分けて行います。Ⅰ期治療のみで終了するお子様もいらっしゃいますが、ほとんどの症例でⅡ期治療が必要となります。
<治療費>
矯正相談 無料
精密検査 32,400円(税込)
Ⅰ期治療 340,200円(税込)
Ⅱ期治療 362,800円(税込)
※特殊なレントゲン撮影が必要は場合は、紹介により他病院で撮影していただきます。この際は別途費用が必要となります。(費用は医療機関により異なります)
部分矯正治療(一部分だけの歯並びの治療)
1~4本程度の、かみ合わせに関係ない部分の歯並びだけを治す矯正治療です。1本だけ反対のかみ合わせになっている前歯だけを治したい、斜めに倒れてしまった奥歯を起こしたい、歯茎の中まで虫歯が進んでしまった歯を引っ張り出したい、などの症例が適応となります。一部分のみの治療になりますので、気になる部分のみ、短期間での治療が可能です。
欠点としては、症例により適応が限られるため、どなたでもできるわけではありません。適応、費用に関しては症例により異なりますので、ご相談ください。
矯正治療に関するご相談・ご予約
T&T歯科・矯正歯科クリニックでは、診療に関するメール相談、および矯正治療・デンタルエステTIARAのみ、通常のお電話での予約のほかに、Web予約を承っております。ご希望の方は、下記よりお申込みください。
なお、メール相談・Web予約ご利用にあたり、携帯電話・スマートフォン・PCの迷惑メール受信設定を行っている方は、当院からの返信メールが受信できない場合がございますので、tt-dental.comからのメールを受信できるよう、設定の変更をお願いいたします。














