始めませんか?
PMTC!
PMTC(professonal mechanical tooth cleaning)とは歯のケアのプロ、歯科衛生士による、専門的なクリーニングです。
虫歯や歯周病など、歯を失う原因となる疾患は、風邪などと異なり自然に治癒することがない病気であり、発症してしまったら治療を受けないと治癒しません。また、歯を失ってしまったら、残念ながらもとには戻りません。
ですから、これからは歯の健康での悩みをできる限り少なくするため、歯を失わないようにするため、「治療のために歯科に通う」から「治療しないために歯科に通う」に意識を変えてみませんか?
PMTCってどんなことをするのでしょうか?
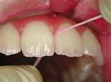
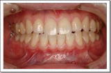
<施術前>
コーヒーやワインをよく飲むので、歯の着色が気になります。歯の裏側もざらざらしています。
PMTCスタート
1.汚れのチェック、ケアのアドバイス
始めに、歯の汚れ、歯茎の腫れ、歯石の有無など、お口の中の状態を詳しくチェックします。磨き残しや歯磨きが難しい部位などへの歯ブラシの当て方のご指導や、現在のお口の状態にあった歯ブラシ、デンタルフロス・歯間ブラシなどのご提案を必要に応じて行います。
2.バイオフィルム・歯石の除去
超音波スケーラーや手用器具など歯科医院専門の器具を使って、頑固な汚れや歯石などを徹底的に落とします。
3.ステイン除去
必要に応じて、水と圧縮空気と微小パウダーで汚れを落とすエアフローマスターを使用し、細部の汚れを落とします。
4.仕上げ研磨・歯のトリートメント
ブラシ、シリコンカップ、デンタルフロスや、研磨ペーストを使用し、歯のトリートメントを行って仕上げます。
<施術後>
約60分で、汚れがきれいに落ちました。歯が本来の色調を取り戻し、ピカピカに輝いているのがわかります。舌で触っても歯がツルツル。口の中がとっても爽やかな感じ。施術中は心地よく、眠ってしまいそうなくらいリラックスできました。
頑固な汚れがある方へ。

強度のタバコのヤニなど、頑固な汚れの場合でも、歯表面に付着した汚れ・着色であれば、きれいに除去することが可能です。
ただし、程度によっては1回(約60分)の施術では完全に除去することが困難で複数回の回数がかかる場合があります。また、歯表面に付着した汚れではなく、歯の詰め物の変色や、歯の質自体の変色に関しましては、PMTCではきれいにすることはできません。歯の治療や、ホワイトニング等の処置が必要となりますので、ご相談ください。










