歯周病とは
「歯周病」とは、細菌感染によって「歯を支えている顎の骨が溶かされてしまう病気」です
歯周病は歯を失う最大の原因で、35歳以上の日本人の約80%の人が罹患しているといわれています。
歯周病の初期は「痛い」「歯が動揺する」などの症状が出ないことが多いため、気づいた時にはすでに進行してしまっている場合が多いという特長があります。
歯ぐきから出血する、口の中がネバネバする、口臭が気になる、などの症状に気づいたら、早めの診察を受けましょう。
歯周病と全身疾患
最近の研究によると、その原因菌やその毒素などが、血管を通じて全身に影響を及ぼすことがわかっています。(脳梗塞や心筋梗塞、心内膜炎、糖尿病、誤嚥性肺炎、胃潰瘍、動脈硬化や早産・低体重児出産、など)
また、糖尿病や骨粗鬆症が歯周病の進行を早めます。
歯周病の人が心臓病になる確率は、2~3倍にあがります。
歯周病は単なるお口だけの病気ではないのです。心配な方はぜひ一度検査を受けることをおすすめします。
歯周病の進行度
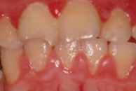
軽度歯周炎(歯肉炎)
歯周ポケット(歯と歯ぐきの間の溝)が3mm以内で、歯槽骨の破壊が起こっていない場合は、ほとんどが完治します。
歯肉炎では、プラーク(歯垢:生きた細菌の塊)や少量の歯石(プラークが石のように硬くなり、歯にこびりついたもの)がたまり、歯ぐきに炎症が起こり、赤く腫れたり出血したりといった症状が出ます。
軽度歯周病の症例です。歯ぐきが赤く腫れて炎症を起こしています。
細菌の侵入は歯肉で止まっています。
歯を支えている顎の骨はまだとかされていません。
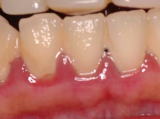
中等度歯周炎
歯周ポケットが4~6mmで、歯槽骨の破壊(歯を支えている顎の骨がとかされている)が起こっている状態。
歯や歯根には、多量のプラークや歯石が付着しています。歯ぐきの腫れ、出血、排膿を伴います。力をかけると、歯が動揺します。

中等度歯周炎の症例です。歯ぐきが赤く腫れ、多量の歯石を認めます。力をかけると歯が動揺します。
細菌が歯槽骨まで侵入し、歯槽骨の破壊が起こっています。
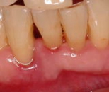
重度歯周炎
歯周ポケットが6mm以上で、歯槽骨の破壊がかなり進んだ状態。
重度歯周炎では、プラークや歯石が多量に沈着し、歯槽骨が大きく溶かされています。歯ぐきから出血、排膿を伴い、口臭がします。歯は歯槽骨の支えを失い、大きく動揺します。物を噛むと力を支えきれず、痛みがでたり、力が入らず噛めないといった症状が起こります。
さらに進行すると、歯が自然に抜けてしまいます。 

重度歯周炎の症例です。歯石が多量に付着しており、歯ぐきが下がり、歯がくらぐらしています。
歯が支えを失って前に移動し、歯と歯の間に隙間ができています。
細菌が顎の骨の奥深くまで侵入し、歯槽骨がほぼ歯根の先端まで破壊されています。
歯周病予防のポイント
歯磨きが歯周病の予防の第一条件ですが、私たちの日常生活には歯周病にかかりやすくなる、または悪化させるいろいろなリスクフアクター(危険因子)がひそんでいます。
次のことに気をつけて、歯周病を予防しましょう。
1.毎日のブラッシング
歯周病の主な原因は、口の中の細菌です。ブラッシングはこれらの細菌を自分で除去する最も効果的で重要な方法です。
お口の状況は人それぞれ異なります。歯並びの悪い方、義歯・ブリッジが入っている方、親知らずのはえている方など、それぞれにあった歯ブラシの選び方・使用法などについてご指導いたします。また、デンタルフロスや歯間ブラシなど、清掃補助用具の使用はとても効果的です。
2.柔らかいもの、甘いものの食生活習慣の改善
これらの食べ物は、歯に付着しやすく、プラーク(歯垢)が形成されやすくなります。また偏食をすると栄養の摂取が不十分になり、身体の抵抗力が低下します。歯ごたえのあるものや食物繊維の多く含まれたものを、しっかり噛んで食べましょう。
3.左右の歯でバランスよく噛むことを心がけましょう
片方ばかりで噛んでいると、歯に過重な負担がかかります。過重負担は、歯茎や歯を支える歯槽骨に炎症を引き起こし、歯周病の進行を早くするリスクファクターとなります。また、片方の歯でばかり噛んでいると、噛んでいる側の汚れが自然に落ちますが、あまり噛まない側の歯にはプラークがたまりやすくなります。
意識して両方の歯でバランス良く噛みましょう。
4.喫煙
タバコを吸う人は、吸わない人に比べて歯周病にかかりやすくなっています。これは、ニコチンなどの作用によって血液の流れが悪くなり、体の細菌と戦う働き(免疫力)が弱くなるからです。できるなら吸わないようにしましょう。
5.口呼吸
口で呼吸をすると、口の中が乾燥しやすくなり、細菌にとっては増殖しやすい環境となります。細菌に感染しやすく、炎症を起こしやすくなります。鼻づまりなど、耳鼻咽喉の病気のある人は治療の必要がありますが、口呼吸の癖のある人は、その癖を治すように心がけましょう。
6.ストレス
ストレスは歯ぎしりのもとになり、歯ぎしりは歯周病を悪化させるリスクファクターとなります。自分では気が付かない歯ぎしりにも、朝起きた時に顎が疲れたなどの症状がある方、歯の摩耗が大きい方、歯ぎしりをご家族に指摘された方は注意が必要です。
また、ストレスが多いと身体の免疫力が低下し歯周病を悪化させます。社会生活を送る上でストレスは避けにくいですが・・・よく睡眠をとり、できるだけストレスをためない生活を送りましょう。
7.家族全員で歯周病予防の意識を持ちましょう
歯周病の最大の原因は、歯周病菌による細菌感染です。家族で生活をしている方は、ご自身だけがしっかりケアしていても、ともに生活しているご家族から感染してしまっては、予防効果があまり期待できません。快適な毎日を過ごすため、ご家族全員で歯周病を予防する意識を高めましょう!
歯周病と喫煙
タバコは様々な病気の原因になると言われていますが、歯周病にとっても大きな危険因子の1つです。
タバコを吸うとどうして悪いの?
タバコに含まれているニコチンという物質には、血管を収縮させる作用があります。そのため、血管が膨張して見られる発赤、腫脹が現れにくく、気付かないうちに進行していることが多いのです。
また、タールという物質が歯に付着してしまうと、歯面がざらついてしまいます。一般的に「ヤニ」と呼ばれているものですが、ざらついている歯面は、プラーク(細菌の塊)を付着しやすくさせます。
さらに、煙に含まれる物質は、細菌に対する抵抗力を低下させることがわかっています。つまり、喫煙者の方は、口腔内の細菌が体内に侵入しても、抵抗力が弱まっているため、細菌が暴れてしまう恐れがあるのです。
要するに、喫煙者は、ヤニの付着によりざらつく歯面になるため、プラーク(細菌の塊)がたまりやすく、抵抗力が弱まることにより非喫煙者と比較すると歯周病の進行が早く進んでしまいます。(1日1箱で約4.72倍)にもかかわらず、ニコチンにより目で見える発赤、腫脹が現れにくく、気づかぬうちにかなり歯周病が進んでいることが多いのです。ですので、喫煙者の方は、定期的に歯科医院を受診し、歯周病の進行をチェックしていく必要があります。
副流煙が及ぼす周囲の人への影響
タバコの煙には、喫煙者本人が吸い込む主流煙と、タバコから立ち上がる副流煙と、二つの煙があります。副流煙の中にも、ニコチンやタールといった物質が含まれており、主流煙と比べると数倍もの量が副流煙の中に存在していると分かっています。ですので、喫煙者の方は、自分の体のみでなく、周囲の方々の健康にも配慮していく必要があります。
家族への影響
夫がタバコを吸う場合、妻は、肺ガンに二倍近くなりやすいと言われています。さらに、お子様にも影響があり、肺炎や喘息などの原因になるとも考えられています。また、家族内に喫煙者がいる場合、家族内の口腔内にも影響が見られ、副流煙により、歯肉にメラニン色素が沈着し、黒ずんだ歯肉になることも多々あります。
女性への害
女性の喫煙が、年々増加傾向にあります。女性の喫煙は、妊娠や出産に悪影響があるということはよく言われていますが、美容にも悪影響を及ぼしています。ニコチンには、血管を収縮する作用があります。そのため、血行が悪くなり、皮膚に十分栄養がいかなくなり、シワやシミを増やしてしまいます。つまり、シワシワの顔になるということです。また、喫煙によりビタミンが失われてしまいます。ビタミン不足により、さらにシミを作りやすくし、肌の色も悪くなってしまいます。










